Σε περιπτώσεις που φαίνονται υπερβολικά τα ούλα (ουλικό χαμόγελο) ή σε περιπτώσεις που τα ούλα έχουν απορροφηθεί μπορεί να γίνει κάποια παρέμβαση για να αποκατασταθεί η αισθητική τους.
Στο οδοντιατρείο μας μπορούμε εύκολα να επέμβουμε με το CO2 laser διορθώνοντάς τα. Η επέμβαση αυτή είναι γνωστή ως ουλοπλαστική.
Το CO2 laser κόβει τους ιστούς σα νυστέρι, χωρίς αιμορραγία και πολλές φορές χωρίς αναισθησία. Με αυτό τον τρόπο επανασχεδιάζεται το περίγραμμα των ούλων στο επιθυμητό.
Η αθεράπευτη ουλίτιδα οδηγεί στην περιοδοντίτιδα. Με την πάροδο του χρόνου τα μικρόβια και οι τοξίνες που παράγουν εξαπλώνονται και προχωρούν κάτω από τα ούλα, τα οποία αποκολλώνται απ'τα δόντια και σχηματίζουν θυλάκους (διαστήματα μεταξύ δοντιών-ούλων). Παρατηρείται αποκόλληση των ούλων από τα δόντια και καταστροφή του κόκαλου που στηρίζει τις ρίζες των δοντιών. Εάν η περιοδοντίτιδα μείνει χωρίς θεραπεία τα δόντια αρχίζουν να κουνιούνται και τελικά πέφτουν.
Συμπτώματα της Περιοδοντίτιδας
Με δεδομένα τη διαφορετική έκφραση της φλεγμονώδους-ανοσιακής αντίδρασης ου κάθε οργανισμού, η κλινική εμφάνιση και η διαδρομή της νόσου διαφέρει από ασθενή σε ασθενή. Κάποιοι χάνουν πολύ γρήγορα τα δόντια τους ενώ άλλοι εμφανίζουν μια αργή εξέλιξη της νόσου χωρίς ιδιαίτερα ενοχλητικά συμπτώματα.
![]() |
![]() |
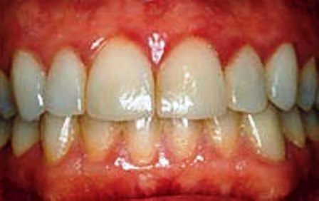
| Περιοδοντίτιδα ελαφράς μορφής |
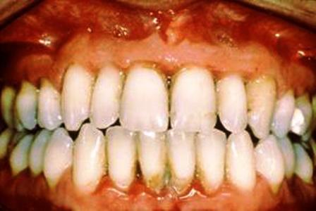
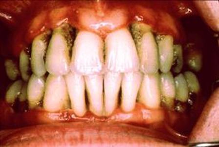
βαριάς μορφής |
Απευθυνθείτε στο οδοντιατρείο μας αν αντιληφθείτε κάποιο από τα ακόλουθα συμπτώματα:
Παράγοντες που προδιαθέτουν την περιοδοντίτιδα
Θεραπεία
Η περιοδοντική θεραπεία αρχίζει πάντοτε με την λεπτομερή ενημέρωση του ασθενή για το περιοδοντικό πρόβλημα που παρουσιάζει και για την σημασία της συμμετοχής του στην θεραπεία με εφαρμογή αποτελεσματικής στοματικής υγιεινής μακροπρόθεσμα.
Στην συνέχεια διδάσκεται και εκπαιδεύεται στην καθημερινή, αποτελεσματική απομάκρυνση της μικροβιακής πλάκας από τις οδοντικές επιφάνειες χρησιμοποιώντας τα ενδεικνυόμενα μέσα στοματικής υγιεινής. Η εκπαίδευση και ενεργοποίηση αυτή του ασθενή στη στοματική υγιεινή είναι θεμελιώδους σημασίας για την επιτυχία της θεραπείας.
Η περιοδοντική θεραπεία περιλαμβάνει:
Συντηρητική θεραπεία που περιλαμβάνει τη λεγόμενη υποουλική απόξεση. Πρόκειται για μια διαδικασία που θυμίζει τον κλασσικό καθαρισμό αλλά είναι βαθύτερη, πιο εξειδικευμένη και γίνεται τμηματικά με τοπική αναισθησία (συνήθως απαιτούνται 3-5 επισκέψεις ).
Ο ασθενής δεν νιώθει πόνο, ούτε κατά την διάρκεια της διαδικασίας ούτε μετά που θα πάει στο σπίτι.
Σε 1-2 μήνες μετά την απόξεση γίνεται επανέλεγχος και αποφασίζεται αν θα χρειαστεί δεύτερη θεραπευτική φάση ( συνήθως αυτή απαιτείται σε προχωρημένες περιοδοντίτιδες).
Χειρουργική θεραπεία
- οστεοκτομή-οστεοπλαστική
- ουλεκτομή-ουλοπλαστική
- αφαίρεση ρίζας ή ριζών
- διαχωρισμός και διχοτόμηση δοντιού
Γίνεται κρημνός (ανοίγονται τα ούλα) καθαρίζονται και μετά γίνεται η συρραφή τους (ράβονται).
Τα πλεονεκτήματα είναι η αναγέννηση χαμένων περιοδοντικών ιστών, μείωση περιοδοντικών θυλάκων, ευκολότερη πρόσβαση στη επιφάνεια της ρίζας του δοντιού με εναπόθεση τρυγίας, ακριβέστερος καθορισμός πρόγνωσης.
Ο ασθενής νιώθει πόνο μετά την επέμβαση. Το μειονέκτημα είναι ότι παρουσιάζονται ευαισθησίες στα δόντια, στο κρύο και το ζεστό μετά την επέμβαση και μέχρι την επούλωση.
Στοχεύουν στη δημιουργία νέου φατνιακού οστού, νέας οστεΐνης και νέων ινών κολλαγόνου.
Συντήρηση του θεραπευτικού αποτελέσματος
Η περιοδοντίτιδα υποτροπιάζει πολύ εύκολα, εάν δεν τηρηθούν αυστηρά και μακροπρόθεσμα δύο προϋποθέσεις.
Η ουλίτιδα είναι μια φλεγμονή των ούλων, δηλαδή των μαλακών ιστών που περιβάλλουν τα δόντια. Πρόκειται για την πιο απλή και την συχνότερη μορφή της περιοδοντικής νόσου.
Συμπτώματα της ουλίτιδας 
Η ουλίτιδα συνήθως εξελίσσεται αθόρυβα. Το κύριο σύμπτωμα που συχνά εκδηλώνεται είναι η αιμορραγία των ούλων κατά τη διάρκεια του βουρτσίσματος. Συχνά παρατηρείται και κακοσμία. Η μικροβιακή προσβολή προκαλεί την άμεση απάντηση των αμυντικών μηχανισμών του οργανισμού, επιφέροντας την εμφάνιση της φλεγμονής στα ούλα.
Που οφείλεται η ουλίτιδα
Η αιτία που προκαλεί την ουλίτιδα είναι η οδοντική πλάκα. Πρόκειται για μια αόρατη μεμβράνη που καλύπτει τα δόντια και αποτελείται από δισεκατομμύρια μικρόβια.
Μετά από κάθε σωστό πλύσιμο των δοντιών, η οδοντική πλάκα καταστρέφεται αλλά μέσα σε λίγα λεπτά αρχίζει να σχηματίζεται ξανά. Η ουλίτιδα εμφανίζεται όταν το καθημερινό πλύσιμο των δοντιών δεν γίνεται με σωστό τρόπο, με αποτέλεσμα ορισμένα μικρόβια να παραμένουν στη θέση τους, και να ωριμάζουν.
Παράγοντες που προδιαθέτουν την ουλίτιδα
Οι κυριότεροι παράγοντες που προδιαθέτουν στην εμφάνιση ουλίτιδας είναι εκείνες οι καταστάσεις που ευνοούν την συγκράτηση μικροβίων στα δόντια π.χ. τερηδόνες, παλιές θήκες ή γέφυρες με κακή εφαρμογή, δόντια στραβά σε συνωστισμό, κ.λπ.
Άλλοι παράγοντες είναι: το κάπνισμα, γενετική προδιάθεση - κληρονομικότητα, ορμονικές διαταραχές (εφηβεία, εγκυμοσύνη, εμμηνόπαυση, αντισύλληψη), επίδραση φαρμάκων (π.χ. αντιεπιληπτικών, αντικαταθλιπτικών), σακχαρώδης διαβήτης, οστεοπόρωση κ.α.
Θεραπεία
Η θεραπεία της ουλίτιδας είναι απλή και απαιτεί 1-3 επισκέψεις. Σε πρώτη φάση γίνεται αφαίρεση της πέτρας και στίλβωση των δοντιών. Στις επόμενες επισκέψεις γίνεται υπο-ουλική απόξεση, προκειμένου να καταπολεμηθεί η φλεγμονή. Η διαδικασία είναι ανώδυνη και γίνεται συνήθως με τοπική αναισθησία.
Η ουλίτιδα θεραπεύεται πλήρως. Απαραίτητη ωστόσο προϋπόθεση για την επιτυχία της θεραπείας είναι η συνεργασία του ασθενή και η πιστή τήρηση των οδηγιών που θα του δοθούν από τον οδοντίατρο για την καθημερινή περιποίηση των δοντιών, τη σωστή χρήση της οδοντόβουρτσας και του οδοντικού νήματος.
Επιπλοκές της ουλίτιδας
Εάν η ουλίτιδα παραμείνει χωρίς θεραπεία, υπάρχει ο κίνδυνος η φλεγμονή να προχωρήσει βαθύτερα και να επηρεάσει το κόκαλο των γνάθων. Η κατάσταση αυτή ονομάζεται περιοδοντίτιδα και είναι πολύ σοβαρή, καθώς προκαλεί τελικά και την πτώση των δοντιών.
Η μετάπτωση της ουλίτιδας σε περιοδοντίτιδα συνήθως δεν γίνεται αντιληπτή από τον ίδιο τον ασθενή παρά μόνο σε πολύ προχωρημένο στάδιο, όταν τα δόντια αρχίσουν να κουνιούνται.