
Η πληθώρα των προσθετικών τεχνικών και μέσων που εφαρμόζονται στο οδοντιατρείο μας εγγυώνται τη λειτουργική αποκατάσταση των δοντιών που έχουν καταστραφεί ή εξαχθεί, ενώ ταυτόχρονα γίνεται με επιτυχία η προσαρμογή των ασθενών μας στις νέες αποκαταστάσεις.
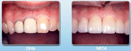
Η στεφάνη, ή θήκη όπως αλλιώς λέγεται, είναι ένα κάλυμμα κατασκευασμένο είτε εξ’ολοκλήρου από πορσελάνη είτε από μεταλλικό σκελετό εσωτερικά και πορσελάνη εξωτερικά. Καλύπτει ολόκληρο το δόντι (αφού προηγουμένως τροχιστεί) και το προστατεύει από τυχόν σπασίματα. Με την στεφάνη μπορούμε να αλλάξουμε το χρώμα και το σχήμα και το μέγεθος του δοντιού με μεγάλη επιτυχία.
Η στεφάνη ενδείκνυται στις ακόλουθες περιπτώσεις:
- Σε δόντια απονευρωμένα.
- Σε σπασμένα δόντια.
- Σε δόντια με μεγάλα σφραγίσματα.
- Σε περίπτωση που υπάρχει απώλεια οδοντικής επιφάνειας λόγω ηλικίας, τριξίματος των δοντιών.
- Στην βελτίωση της αισθητικής εμφάνισης ενός δοντιού (εαν θέλουμε να αλλάξουμε χρώμα, σχήμα, διάταξη στα πρόσθια δόντια και δεν υπάρχει δυνατότητα εφαρμογής πιο συντηρητικής τεχνικής όπως όψεις, λεύκανση, bonding κ.α).
- Για την στήριξη μιας κινητής οδοντοστοιχίας ή γέφυρας, όταν λείπουν διπλανά δόντια.
Σε αυτές τις περιπτώσεις η κατασκευή και τοποθέτηση μιας εξατομικευμένης στεφάνης κρίνεται η μόνη λύση, προκειμένου να παραμείνει το δόντι χωρίς να κινδυνεύει να σπάσει.
Στο οδοντιατρείο μας χρησιμοποιούμε ολοκεραμικές στεφάνες με την πρωτοποριακή τεχνολογία CEREC.

Στις ολοκεραμικές αποκαταστάσεις, η απουσία του μεταλλικού σκελετού δεν επιτρέπει την εμφάνιση της αντιαισθητικής μαύρης γραμμής στα ούλα και διασφαλίζει την βιολογική ενσωμάτωση της προσθετικής εργασίας.
Τα ολοκεραμικά συστήματα είναι η απόλυτη επιλογή για την αποκατάσταση πρόσθιων δοντιών ή σε περιπτώσεις υψηλών απαιτήσεων σε αισθητική.
